
大陆云南贵州一名69岁老翁,本月21日因为小便困难、腹部胀痛等问题求诊,没想到经过一连串检查后,医师竟从他的膀胱里挖出24节塑料管、23条生芋头。
而老翁也支支吾吾解释,他是为了寻求快感,才会在往尿道乱塞东西。

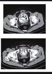
根据陆媒报导,医师透过X光照发现老翁膀胱里有许多「异物」,多次追问下,老翁这才坦承他为了寻求快感,1星期前把塑料管、生芋头从尿道塞进去。
怎料之后却出现小便困难、腹部胀痛等情形,让他非常痛苦。

收治患者的医师表示,原本他准备把膀胱镜放入尿道,再用夹子把异物取出来,但由于塑料管实在太粗了,无法顺利取出,最后只能把老翁推进手术室,开刀把24节塑料管、23条生芋头拉出来。
医师透露,这些塑料管、生芋头几乎都跟手指差不多粗,加起来约有200厘米这么长。

医师警告,强行往尿道塞异物可能会引发尿道损伤、感染、泌尿系统发炎等问题。
严重的话还会扩散到全身,引起菌血症、脓毒血症,「别为了寻求一时刺激而做出伤害身体的事,得不偿失」。
你怎么看?
-END-今日汇率:
1美元=7.08人民币